Çocuklukta böbrek kanseri: Belirtileri ve sebepleri

Çocukluk döneminde böbrek kanseri hepimiz için can sıkıcı bir konu. Fakat bu hastalık aslında tedavi edilebilir ve bu hastalıkla yaşayan birçok çocuk yaşamaya devam ettiği gibi normal bir hayat sürerler.
Çocuklukta böbrek kanseri
Kanser vücudun kontrolü dışında üreyerek etki alanını genişleten kötü huylu hücreler olarak anılır. Çocuklukta görülen en yaygın böbrek kanserine Wilms tümörü ya da nefroblastom deniyor.
Bu tümör katı madde olarak tutarlı bir şekilde gelişimini tamamlamamış böbreğe ait dokularda meydana çıkıyor. Bu tümörün yarattığı kansere böbrek kanseri diyoruz.
Tek bir doku bozulmasından bahsetsek de böbrek kanseri aslında her iki böbreği de etkileyebilir. O zaman bu tümörlere iki yönlü tümör deriz. Başka durumlarda ise kanser çok odaklı olabilir.
Yani kanser aynı böbrek üzerinde birden fazla dokusal bozulma olarak kendini ifade eder. Tüm bunlara ek olarak böbrek kanseri hem kadın hem de erkeği eşit derecede etkileyen bir sağlık problemidir.

Çocuklukta böbrek kanserinin olası sebepleri
Bu hastalığın sebebi tam olarak bilinmiyor. Fakat hastalık daha çok genetik problemler taşıyan çocuklarda sıklıkla gözlemleniyor. Böbrek kanserinin en yaygın sebeplerini aşağıda sizler için sıraladık:
- WAGR sendromuna sahip olmak, mental anlamda gerilik, üreme ve boşaltım yollarında sıkıntı yaşamak, iris tabakası olmayan göze sahip olmak
- Denys-Dras sendromuna sahip olmak ya da üreme organlarında bozukluk olması ve böbrek rahatsızlığına sahip olmak.
- Beckwith-Wiedemann sendromuna sahip çocuk olmak ya da karın bölgesindeki pankreas, karaciğer ya da böbreküstü bezi gibi organlarda büyüme. Bunların yanında genişlemiş göbek fıtığı da böbrek kanserinin olası sebepleri arasındadır.
- Akrabalar arasında daha önce bu hastalığa yakalanmış bireylerin olması.
- İdrar yolunda problemler.
- Tüberoz skleroz kompleksine sahip olmak. Bu hastalıkta böbrekte yağlı kist oluşumu gözlemlenir.
- Medüller kistik böbrek hastalığı ya da böbrek hücreli kanser ve hipertansiyona sahip olmak.
Çocuklukta böbrek kanserine işaret eden belirtiler
Başlangıçta genellikle böbrek kanseri için bir belirti görmeyiz. Lakin çocuğunuzun göbeğinde şişkin bir kısım varsa ya da şişkinlik varsa endişelenmeye başlamalısınız.
Böbrek kanserine işaret edebilecek diğer belirtiler ise şöyle: Karın bölgesinde rahatsızlık, mide bulantısı, kusma, iştahsızlık ya da kabızlık. Bunların dışında idrarla beraber kan gelmesi ve hipertansiyon da çocuklarda böbrek kanserine işaret edebilir.
Eğer ki ufaklık çocukluğunda böbrek kanseri olursa kendini gösterebilecek diğer belirtiler ise şöyle sıralanabilir: Düzensiz ve sebepsiz yere ateş çıkması, yorgun hissetmek, göğüs bölgesinde acı ve kilo kaybı.
Tümör eğer ki karaciğer ya da akciğere sıçrarsa belirtiler daha farklı olur. Bu tip bir durumda belirtiler şöyle sıralanabilir: Karın bölgesinde acı, öksürme, solunum problemleri ve kanlı balgam atmak.
Peki, çocuklukta böbrek kanseri nasıl teşhis edilir?
Çocuklukta böbrek kanserini teşhis etmek için fiziksel bir muayene ile genel sağlık durumuna bakılıyor. Bunun yanında geçmiş hastalıklar ve sağlık ile ilgili alışkanlıklar inceleniyor. Sonrasında ise RSC ya da kan hücre sayılımı, biyokimyasal kan ile ilgili çalışmalar ve idrar analizi gerçekleştiriliyor.
Daha sonra karın bölgesinde ultrason uygulanarak kanser kütlesinin yeri, boyutu ve diğer özellikleri tespit edilebiliyor. Ultrason acı ve radyasyon içermeyen bir resimleme tekniği aslında.
Eğer ultrason sonucu şüphe uyandırıcı çıkarsa takibinde bir karın bölgesi taraması ya da CAT taraması gerçekleştirilir. Bunların yanında göğüs röntgen testi de istenebilir. Bu son aşamaya ihtiyaç duyuluyor çünkü kanserin yayılması olasılığına karşı kontrolü bu testlerle görebiliyoruz.

Bunun dışında ise CT taraması alarak karın bölgesi, göğüs kafesi ve idrar boşluğuna farklı açılardan bakan tarama resimleri çekiliyor. Diğer bir metot ise nükleer manyetik rezonans görüntüleme.
Bu teknik bir mıknatıs kullanarak radyo sinyalleri ve bilgisayar aracılığıyla vücudun içindeki parçaları görüntüleyebiliyor.
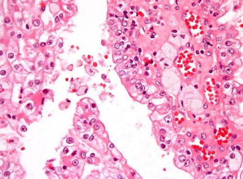
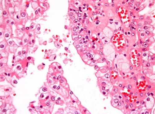
Uzmanın belirtmesi dâhilinde tümör biyopsisi gerçekleştirilebiliyor. Bu teknikte ise hücreler ya da dokular bir hastalık bilimleri uzmanı tarafından mikroskobik olarak incelenmek üzere bir iğne aracılığıyla parçalanıyor.
Çocuklarda böbrek kanserini yenmek için uygulanan farklı tedaviler
Böbrek kanserinde takip edilmesi gereken tedavi yöntemi tümörü oluşturan hücrelerin türü, uzantı ve yayılma türüne göre değişiklik gösterecektir.
- İçsel ya da dışsal ışın tedavisi ile birlikte kanserli hücreler enerji ya da radyasyona maruz bırakılarak önlenebilir ya da yok edilebilir.
- Tek bir böbrek etkilendiğinde, kemoterapi tedavisi ve damardan iköklaç uygulanıyor. Bu tedavi hem ameliyat öncesinde hem de sonrasında uygulandığı için kanserli hücre yok ediliyor.
- Vücudun kansere karşı savunma mekanizmalarını doğal olarak yerine getiren uyarıcı maddeler kullanılabilir. Bunun adı biyolojik terapi olarak geçiyor.
- Diğer bir metot ise yüksek dozlu kemoterapi eşliğinde kök hücreleri kurtarılabiliyor. Kemoterapi bittikten sonra kan hücrelerinin yenilenmesi için uygulanabilen bir seçenek!
- Odaklı tedavi ise sadece kanser hücrelerinin yıkılması olasılığını hedef alıyor. Bunu yaparken ise normal ve sağlıklı kişileri hedef alıyor.
Bu tip tedavilerin bazılarının aylar süren yan etkileri olabilir. Bu yan etkiler böbrek ya da kalp rahatsızlıkları, duygusal durumda dengesizlik, düşünme ya da öğrenmede zorluk ve hatta yeni tür kanserli hücre olarak da kendini gösterebiliyor.
Eğer çocuğunuz çocukluk döneminde böbrek kanserinin ayırıcı belirtilerine sahipse bir an önce bir çocuk hastalıkları doktoruna danışmanız gerek.
Eğer test pozitif çıkarsa yani çocuğunuz böbrek kanseri olursa kanserin ne kadar yayıldığını ve hangi aşamada olduğunu bilmek isteyeceksiniz. Bu noktada çocuğunuzda kullanılacak tedavi yöntemi ve bunun yaratabileceği olası etkileri doktorunuzla konuşmanızda yarar var!
Çocukluk döneminde böbrek kanseri hepimiz için can sıkıcı bir konu. Fakat bu hastalık aslında tedavi edilebilir ve bu hastalıkla yaşayan birçok çocuk yaşamaya devam ettiği gibi normal bir hayat sürerler.
Çocuklukta böbrek kanseri
Kanser vücudun kontrolü dışında üreyerek etki alanını genişleten kötü huylu hücreler olarak anılır. Çocuklukta görülen en yaygın böbrek kanserine Wilms tümörü ya da nefroblastom deniyor.
Bu tümör katı madde olarak tutarlı bir şekilde gelişimini tamamlamamış böbreğe ait dokularda meydana çıkıyor. Bu tümörün yarattığı kansere böbrek kanseri diyoruz.
Tek bir doku bozulmasından bahsetsek de böbrek kanseri aslında her iki böbreği de etkileyebilir. O zaman bu tümörlere iki yönlü tümör deriz. Başka durumlarda ise kanser çok odaklı olabilir.
Yani kanser aynı böbrek üzerinde birden fazla dokusal bozulma olarak kendini ifade eder. Tüm bunlara ek olarak böbrek kanseri hem kadın hem de erkeği eşit derecede etkileyen bir sağlık problemidir.

Çocuklukta böbrek kanserinin olası sebepleri
Bu hastalığın sebebi tam olarak bilinmiyor. Fakat hastalık daha çok genetik problemler taşıyan çocuklarda sıklıkla gözlemleniyor. Böbrek kanserinin en yaygın sebeplerini aşağıda sizler için sıraladık:
- WAGR sendromuna sahip olmak, mental anlamda gerilik, üreme ve boşaltım yollarında sıkıntı yaşamak, iris tabakası olmayan göze sahip olmak
- Denys-Dras sendromuna sahip olmak ya da üreme organlarında bozukluk olması ve böbrek rahatsızlığına sahip olmak.
- Beckwith-Wiedemann sendromuna sahip çocuk olmak ya da karın bölgesindeki pankreas, karaciğer ya da böbreküstü bezi gibi organlarda büyüme. Bunların yanında genişlemiş göbek fıtığı da böbrek kanserinin olası sebepleri arasındadır.
- Akrabalar arasında daha önce bu hastalığa yakalanmış bireylerin olması.
- İdrar yolunda problemler.
- Tüberoz skleroz kompleksine sahip olmak. Bu hastalıkta böbrekte yağlı kist oluşumu gözlemlenir.
- Medüller kistik böbrek hastalığı ya da böbrek hücreli kanser ve hipertansiyona sahip olmak.
Çocuklukta böbrek kanserine işaret eden belirtiler
Başlangıçta genellikle böbrek kanseri için bir belirti görmeyiz. Lakin çocuğunuzun göbeğinde şişkin bir kısım varsa ya da şişkinlik varsa endişelenmeye başlamalısınız.
Böbrek kanserine işaret edebilecek diğer belirtiler ise şöyle: Karın bölgesinde rahatsızlık, mide bulantısı, kusma, iştahsızlık ya da kabızlık. Bunların dışında idrarla beraber kan gelmesi ve hipertansiyon da çocuklarda böbrek kanserine işaret edebilir.
Eğer ki ufaklık çocukluğunda böbrek kanseri olursa kendini gösterebilecek diğer belirtiler ise şöyle sıralanabilir: Düzensiz ve sebepsiz yere ateş çıkması, yorgun hissetmek, göğüs bölgesinde acı ve kilo kaybı.
Tümör eğer ki karaciğer ya da akciğere sıçrarsa belirtiler daha farklı olur. Bu tip bir durumda belirtiler şöyle sıralanabilir: Karın bölgesinde acı, öksürme, solunum problemleri ve kanlı balgam atmak.
Peki, çocuklukta böbrek kanseri nasıl teşhis edilir?
Çocuklukta böbrek kanserini teşhis etmek için fiziksel bir muayene ile genel sağlık durumuna bakılıyor. Bunun yanında geçmiş hastalıklar ve sağlık ile ilgili alışkanlıklar inceleniyor. Sonrasında ise RSC ya da kan hücre sayılımı, biyokimyasal kan ile ilgili çalışmalar ve idrar analizi gerçekleştiriliyor.
Daha sonra karın bölgesinde ultrason uygulanarak kanser kütlesinin yeri, boyutu ve diğer özellikleri tespit edilebiliyor. Ultrason acı ve radyasyon içermeyen bir resimleme tekniği aslında.
Eğer ultrason sonucu şüphe uyandırıcı çıkarsa takibinde bir karın bölgesi taraması ya da CAT taraması gerçekleştirilir. Bunların yanında göğüs röntgen testi de istenebilir. Bu son aşamaya ihtiyaç duyuluyor çünkü kanserin yayılması olasılığına karşı kontrolü bu testlerle görebiliyoruz.

Bunun dışında ise CT taraması alarak karın bölgesi, göğüs kafesi ve idrar boşluğuna farklı açılardan bakan tarama resimleri çekiliyor. Diğer bir metot ise nükleer manyetik rezonans görüntüleme.
Bu teknik bir mıknatıs kullanarak radyo sinyalleri ve bilgisayar aracılığıyla vücudun içindeki parçaları görüntüleyebiliyor.
Uzmanın belirtmesi dâhilinde tümör biyopsisi gerçekleştirilebiliyor. Bu teknikte ise hücreler ya da dokular bir hastalık bilimleri uzmanı tarafından mikroskobik olarak incelenmek üzere bir iğne aracılığıyla parçalanıyor.
Çocuklarda böbrek kanserini yenmek için uygulanan farklı tedaviler
Böbrek kanserinde takip edilmesi gereken tedavi yöntemi tümörü oluşturan hücrelerin türü, uzantı ve yayılma türüne göre değişiklik gösterecektir.
- İçsel ya da dışsal ışın tedavisi ile birlikte kanserli hücreler enerji ya da radyasyona maruz bırakılarak önlenebilir ya da yok edilebilir.
- Tek bir böbrek etkilendiğinde, kemoterapi tedavisi ve damardan iköklaç uygulanıyor. Bu tedavi hem ameliyat öncesinde hem de sonrasında uygulandığı için kanserli hücre yok ediliyor.
- Vücudun kansere karşı savunma mekanizmalarını doğal olarak yerine getiren uyarıcı maddeler kullanılabilir. Bunun adı biyolojik terapi olarak geçiyor.
- Diğer bir metot ise yüksek dozlu kemoterapi eşliğinde kök hücreleri kurtarılabiliyor. Kemoterapi bittikten sonra kan hücrelerinin yenilenmesi için uygulanabilen bir seçenek!
- Odaklı tedavi ise sadece kanser hücrelerinin yıkılması olasılığını hedef alıyor. Bunu yaparken ise normal ve sağlıklı kişileri hedef alıyor.
Bu tip tedavilerin bazılarının aylar süren yan etkileri olabilir. Bu yan etkiler böbrek ya da kalp rahatsızlıkları, duygusal durumda dengesizlik, düşünme ya da öğrenmede zorluk ve hatta yeni tür kanserli hücre olarak da kendini gösterebiliyor.
Eğer çocuğunuz çocukluk döneminde böbrek kanserinin ayırıcı belirtilerine sahipse bir an önce bir çocuk hastalıkları doktoruna danışmanız gerek.
Eğer test pozitif çıkarsa yani çocuğunuz böbrek kanseri olursa kanserin ne kadar yayıldığını ve hangi aşamada olduğunu bilmek isteyeceksiniz. Bu noktada çocuğunuzda kullanılacak tedavi yöntemi ve bunun yaratabileceği olası etkileri doktorunuzla konuşmanızda yarar var!
Tüm alıntı yapılan kaynaklar, kalitelerini, güvenilirliklerini, güncelliklerini ve geçerliliklerini sağlamak için ekibimiz tarafından derinlemesine incelendi. Bu makalenin bibliyografisi güvenilir ve akademik veya bilimsel doğruluğa sahip olarak kabul edildi.
- American Academy of Family Physicians. Recognition of Common Childhood Malignancies. Am Fam Physician; 61:2144-54. The Alliance for Radiation Safety in Pediatric Imaging’s “Image Gently” Campaign
- MedlinePlus. «Tumore de Wilms». Enciclopedia médica en español
- Rojas, V. & Pérez, Y. L. Cáncer Infantil: una visión panorámica. Revista PsicologiaCientifica.com, 13(19)
Bu metin yalnızca bilgilendirme amaçlı sunulmuştur ve bir profesyonelle görüşmeyi yerine geçmez. Şüpheleriniz varsa, uzmanınıza danışın.







